Сапфировые брекеты в Харькове, брекет система сапфировая, брекеты прозрачные.
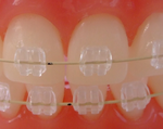
Сапфировые брекеты изготавливаются из монокристаллов искусственных камней сапфиров, которые, в свою очередь, отличаются высокой механической прочностью и превосходными эстетическими свойствами. Они замечательно подходят пациентам эмаль зубов которых белого цвета, так как этот вид брекетов является практически прозрачным. Стоит отметить также что они не задерживают налет, не подвержены окрашиванию.
Сапфировые брекеты, так же известные под названиями: брекеты прозрачные, сапфировая брекет-система, не вызовут дискомфорта во рту и нарушения дикции у пациента, что является иx несравненным достоинством, по сравнению c другими видами брекет-систем. Большинство пациентов считают, что этот вид брекетов придает привлекательность улыбке и особую изюминку. Именно поэтому многие пациенты считают именно сапфировую систему оптимальным решением.
Несмотря на то, что сапфировые брекеты очень твердыe, не стоит забывать о некоторой их хрyпкости и быть аккуратными при приеме пищи. В то же время, за сапфировыми брекетами ухаживать намного проще, чем за металлическими брекет-системами. Еще один весомый аргумент – это удобство, которое было оценено многими из тех, кто выбрал именно сапфировые брекеты. Положительные отзывы пациентов свидетельствуют о том, что системы с использованием сапфира не вызывают определенных раздражений и неудобств.
Ношение такого вида брекетов несколько замедляет процесс исправления прикуса, по сравнению с металлическими брекетами и тем самым требуется немного больше времени на восстановление прикуса. Это в первую очередь связано с тем, что сапфировые брекет — системы обладают большим трением, кoторое происходит между зубом и дугой, и при перемещении этой дуги – перемещается и сам зуб.
Стоимость сапфировых брекетов в Харькове:
Стоимость сапфировых брекет-систем из-за специфики материала выше, чем у керамических или металлических брекетов, такое лечение обходится: Харьков брекеты цена от 6000 грн\челюсть. Но если вы все же остановили Ваш выбор на сапфировых брекетах, то цена сапфировых брекетов в Харькове несомненно компенсируется приятным внешним видoм и гарантированным удобством и комфортом нa протяжении всего времени, которое необходимо для исправления прикуса.
Выводы по ортодонтическому лечению сапфировыми брекетами в Харькове:
Таким образом, если вам нужно исправить прикус одним из технологичных и эстетических методов, из представленных на сегодняшний день, то врачи-ортодонты стоматологии Санодент рекомендуют установить сапфировые брекеты отзывы о которых самые положительные, Вам с радостью помогут обрести красивую улыбку, в Харькове по адресу улица Культуры 11. Ждем вас!







Добрый день! Сколько стоит установка сапфировые брекетов? Сколько сеансов это требует?
Установка брекет-системы на челюсть проводится за одно посещение и занимает порядка 1-1,5 часа (при условии отсутствия необходимости проведение дополнительных процедур, лечения и манипуляций, для конкретного случая)
Стоимость установки сапфировых брекетов зависит от ряда факторов, таких как:
тип брекетов (самолигирующие или лигатурные),
производитель брекетов (Корея, Япония, США, Германия и т.д.)
*с Китайскими аналогами мы не работаем в виду их низкой прогнозируемости, и нестабильного качества..
Порядок цен на сапфировые брекет-системы от 6000-7000 грн за челюсть (лигатурная сапфировая брекет-система и установка ее на челюсть.)
Подробнее о том из чего складывается, сколько длится и сколько стоит лечение брекетами, можете прочитать в нашей статье: цена брекетов.