ФОТО СТОМАТОЛОГИЧЕСКИХ РАБОТ САНОДЕНТ: ХУДОЖЕСТВЕННЫЕ РЕСТАВРАЦИИ/ПЛОМБИРОВАНИЕ ЗУБОВ
эстетическая реставрация, художественная реставрация зубов/пломбирование зубов
Наши стоматологические работы по эстетической и художественной реставрации зубов композитными материалами, пломбирование зубов, фото до и после.
Современная стоматология предлагает пациентам доступную услугу под названием эстетическая реставрация зубов 😁😁😁.
📌Что это за методика?
Под этим термином подразумевается прямое восстановление внешнего вида и функциональности зубного ряда за один визит к стоматологу.
📌Устраняет дефекты, либо закрывает диастемы (щели) стоматолог-терапевт при помощи специальных композитных фотополимеров высокой степени стойкости.
А применив талант художника, врач-стоматолог использую послойное нанесение различных типов и цветов композитных материалов добивается максимального соответствия внешнего вида готовых конструкций и естественных зубов человека. 💎💎.
#реставрациязубов #естетическаяреставрациязубов #пломбированиезубов #закрытьдиастему #диастемазубов #щельмеждузубами #сколзуба #реставрациязубовхарьков #эстетическаяреставрациязубов #художественнаяреставрациязубов #стоматологияхарьков #стоматологхарьков #пломбированиезубов #красиваяулыбка
Подборка наших стоматологических работ по эстетической реставрации зубов композитными полимерными материалами, фото «до» и «после»:

художественная реставрация зубов в Харькове, фото до и после

реставрация зубов в Харькове, фото до и после

эстетическая реставрация зубов в Харькове, фото до и после

художественное восстановление зубов методом прямой реставрации стоматологическими композитами,, фото до и после

Лечение кариеса зубов методом эстетической реставрации композитными полимерами

Эстетическая реставрация зубов композитными виниры в Харькова, фото до и после установки (Компониры)
Закрытие диастемы фронтальных зубов (Щели между зубами) методом прямой художественной реставрации.
Эстетическая реставрация режущей части фронтальных зубов (сколы и стертость эмали) прямым методом по просьбе пациента для улучшения эстетики.
- до реставрации
- режущий край сколы с тертая эмаль
- после прямой реставрации
- композитные материалы
Скол режущей части двух фронтальных зубов и восстановление эмали прямым методом с помощью композитных материалов.
- Скол эмали режущего края зубов
- Реставрация композитными материалами
Художественная реставрация поврежденного зуба (скол эмали зуба) прямым методом. Реставрация проводилась сразу для двух фронтальных зубов, что бы избежать разницы в эстетики и придать природный вид зубам.
- Скол эмали зуба
- Фронтальный зуб поврежден
- Проведена реставрация
Эстетическая реставрация зубов верхней челюсти композитными материалами.
- До реставрации зубов
- До лечения
- До реставрации зубов
- Лечение корневых каналов
- Начало реставрации зубов
- Реставрация зубов
- Конечный результат
- Результат реставрации зубов
Эстетическая реставрация 11 зуба композитными материалами. Нерв не поврежден, зуб остался витальным (живой).
- Травма 11 зуба
- Материалы для реставрации
- После реставрации
- Эстетическая реставрация зубов
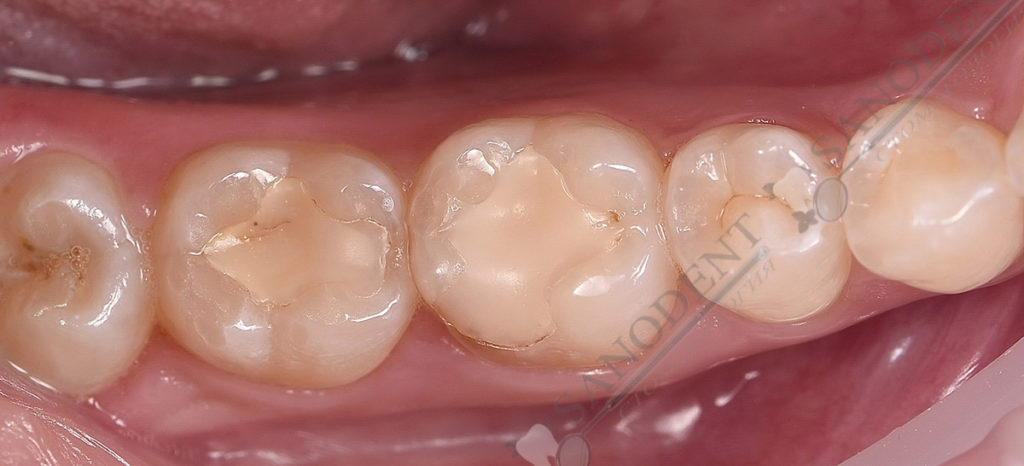
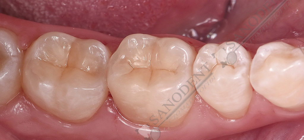
Художественная реставрация зубов жевательной группы
- Старые пломбы
- Подготовка поверхности
- Начало реставрации
- В процессе раставрации
- Конечный результат
Эстетическая реставрация жевательного зуба композитными материалами (Глубокий кариес).
- глубокий кариес жевательного зуба
- изоляция пространства
- начало зудожественной реставрации
- реставрация зуба
- заканчиваем эстетическую реставрацию
- готовый результат
Проводилось: лазерное отбеливание + эстетическая реставрация композитными материалами.
Зубы: 11, 21 ранее депульпированны, зуб 22 удален в результате последствия автомобильной аварии, исходный цвет девитальных зубов определить не удалось. Вся работа проводилась в одно посещение, по просьбе пациента.
- до начала работ
- до начала работ
- защита десен и отбеливание зубов
- конечный результат, десна еще заживут..
- довольный пациент :)
Лечение кариеса в придесневой области зубов с изоляцией рабочего места.
- кариозные области в районе десны
- сложность обусловлена отсутствием доступа
- удаление кариозных зон
- изоляция пространства
- подготовка полости под реставрацию
- подготовка полости под реставрацию
- сразу после лечения
- на следующий день







ПОСЛЕДНИЕ КОММЕНТАРИИ: