Художественная реставрация зубов в Харькове.
Сегодня очень просто справится с разрушенным, сломанным или сколотым зубом, инновационные технологии в области стоматологии достигли высоких результатов.
Врачи любой клиники смогут сделать практически чудо – от простой пломбы до микропротезирования и художественной реставрации зубов.
Лечение зубов посредством пломбирования известен уже более восьми тысяч лет. Археологи нашли останки человека из Древнего Пакистана в зубе, которого обнаружили ровное отверстие, которое могло было быть сделано исключительно сверлом.
Итак, в чем же разница между реставрацией и пломбой? Как известно красота улыбки зависит не только от внешних признаков, но также от здоровья зубов. В этом случае стоматологи сравнивают реставрацию с искусством.
- Пломба – это восстановление функций зубов и их анатомической формы.
- Художественная реставрация отличается от простой пломбы тем, восстанавливает не только форму зуба, но также имитирует ее природный цвет и внешний вид зуба в целом

Специалист, который восстанавливает зуб должен быть в первую очередь художником, так как очень важно создать «эффект природного зуба». Благодаря современным отделочным препаратам можно воссоздать абсолютно не отличающийся от других зуб. Вы навсегда сможете избавится от дефектов эмали, кариозных полостей, наслоений и прочее.
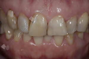
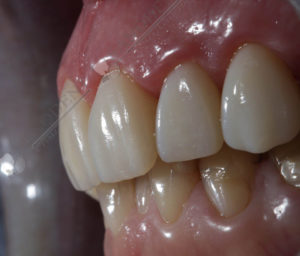
Художественная реставрация зубов фото, фото реставрации зубов в Харькове:
- до начала работ
- довольный пациент :)
- До лечения
- Начало реставрации зубов
- Реставрация зубов
- Конечный результат
Разновидности пломб и реставраций зубов. Способы восстанавливать поврежденную эмаль зубов в Харькове.
Пломбы бывают временными и постоянными. Временная – устанавливается на небольшой промежуток времени. Обычно ее ставят при прогрессирующем кариесе, пульпите или после лечения зубных нервов. Постоянные пломбы предназначены для восстановления формы зуба и его функций.
Для постановки постоянных пломб используют три основных материала:
- Цементы. Они бывают фосфатные, силикатные, стеклоиномерные и поликарбоксилатные. Фосфатные и силикатные отличаются низкой стоимостью, однако они имеют низкую механическую прочность, характеризуются токсичностью, низким коэффициентом прилегания, непродолжительностью службы и высокой степенью истираемости. Стеклоиномерные цементы обладают большим количеством положительных свойств – долговечны, прочны, хорошо прилипают к зубу, нетоксичны. Плюс ко всему во время эксплуатации материал выделяет фтор, который помогает в профилактике с кариесом. Но, как и любой другой материал, он имеет свои недостатки, этот цемент очень хрупкий, поэтому его обычно применяют как материал под коронку или в детской стоматологии.
- Амальгама. Один из наиболее древних материалов, который состоит из ртути и серебра. Такие пломбы могут служить на протяжении десятилетий – материал очень прочный и твердый. Недостатками считаются высокая теплопроводность и цвет материала (металлический). Некоторые медики склоны считать, что ртуть в пломбе может вызывать интоксикацию не только у пациента, но и у персонала, который с этим материалом работает.
- Композиты. Этот материал используют наиболее часто в стоматологии. Они бывают химического и светового отверждения. Первый материал получают посредством смешивания катализатора и активатора. За несколько минут доктор должен смастерить нужного размера пломбу, за счет этого она не считается пломбой высокой эффективности. Светополимерные композиты «мастерятся» под действием специальной уф лампы, по типу той что используется для отбеливания зубов, это дает возможность доктору не торопиться и сделать пломбу нужного размера и формы. Эта группа материалов используется наиболее часто, потому как считается самой эстетичной, технологичной и безопасной.
Как выбрать какую пломбы или реставрацию выбрать? Прежде всего обратитесь к стоматологу!
Многие задаются вопрос о том, какую пломбу все таки поставить, но это зависит напрямую от степени повреждения зуба, стоит проблема с целостностью эмали либо уже есть повреждения дентина. В любом случае, вопрос должен быть решен индивидуально, вместе с доктором.
Качество пломбы напрямую зависит от опыта и профессионализма врача, применяемых материалов и правильности постановки пломбы. При пломбировании жевательных зубов важно в пломбу добавлять композитные материалы. От правильной постановки и полировки пломбы зависит, будет ли в зубах застревать пища и не образуется ли в зубе рядом кариес. Если пломбу плохо отполировать (пусть она даже будет изготовлена из самого дорогого и прочного материала) вскоре она выйдет из строя, либо как минимум будет приносить дискомфорт при контакте с языком.
Для передних зубов используют материалы имеющие повышенные эстетические свойства и «полируемость». Как долго и качественно простоит пломба и не появиться необходимость в протезировании зубов коронками (безметалловые коронки, металлокерамические коронки, виниры и т.д.) зависит не только работа врача, но и уход самого пациента. Дабы пломба служила долго, следует помнить о качественном уходе за полостью рта и ее регулярной профессиональной гигиеной.
Качественную пломбу нельзя поставить быстро, эта процедура занимает минимум 30 — 40 минут. Художественная реставрация зуба может занять до двух часов времени.
Реставрация зубов в Харькове, видео художественной реставрации переднего зуба с использованием набора композитных материалов.
Видео ускоренно и смонтировано для лучшего восприятия. На самом деле художественная реставрация зубов — это кропотливый и достаточно длительный процесс, который даже у опытного врача-стоматолога занимает довольно продолжительное время на реализацию.
Для качественной реставрации, которую действительно можно назвать «художественной» используются наборы различных композитных стоматологических материалов. При умелом использовании опытным специалистом и соблюдения технологического процесса, их комбинации позволяют воссоздать цвет им фактуру природного зуба, и в конечном итоге получить эстетику природной улыбки, где реставрированные зубы гармонично сочетаются с естественными.









Здравствуйте сколько стоит худ реставрация зубов ?
Здравсвтуйте! Хотелы бы закрытьнебольшую щель между передними зубами !И ЕЩЕ.. ЕСЛИ ПОЛНОСТЬЮ ОТЛОМАН ЗУБ ВОЗМОЖНО ЛИ ПОСТАВИТЬ ШТИФТ ИЛИ В ЭТОМ СЛУЧАЕ ТОЛЬКО КОРОНКА?
Здравствуйте, Кристина! Для закрытия щели (диастемы) между зубами существует несколько вариантов лечения: 1. Художественная реставрация зубов; 2. Винирыкоронки; 3. Ортодонтическое лечение; Что касается «отломанного зуба», с помощью штифтов восстанавливается культя зуба (основание под коронку), штифт придает конструкции прочность служа своеобразным анкеров в корне зуба, и на это основание производится протезирование коронкой. Восстанавливать такой зуб с помощью реставрации не является правильным, так как надежность такой конструкции (в отличии от цельной коронки) сомнительна. Реставрации удачно применяются в случаях когда 30-70% зуба не повреждены.