ФОТО СТОМАТОЛОГИЧЕСКИХ РАБОТ САНОДЕНТ: ВИНИРЫ/ПРОТЕЗИРОВАНИЕ
Керамические Виниры/Голливудские Виниры/Компониры/Люминиры
Наши стоматологические работы по протезированию зубов керамическими винирами, люминирами, компонирами, фото до и после.
Имплантация и протезирование отсутствующих зубов. Улучшаем эстетику, устанавливаем виниры на зубы. (E-max протезирование голливудскими винирами.)
- до протезирования зубов керамическими винирами
- Многочисленные сколы, трещины и потемнение эмали зубов.
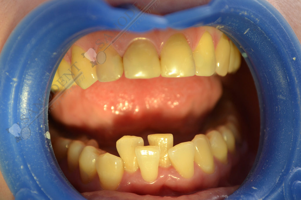
- Начинаем подготовку зубов под протезирование винирами.
- Внешний вид зубов до протезирование винирами.
- После подготовки зубов и отправки моделей в лабораторию, для защиты подготовленных зубов устанавливаются пластиковые временные накладки.
- Пластиковые временные накладки на зубы.
- Пластиковые временные накладки на зубы.
- Примерка постоянных керамических виниров, изготовленных в лаборатории из специальной керамической массы.
- Завершающий этап протезирования
- Примерка постоянных керамических виниров
- фиксация керамических «голливудских» виниров на зубы
- фиксация керамических «голливудских» виниров
- фиксация керамических «голливудских» виниров
- Готовая работа по протезированию зубов голливудскими винирами.
- Довольный пациент и ее новая голливудская улыбка :)
Виниры керамические E-max, улучшаем эстетику, защищаем естественные зубы надежной «броней».
Еще одна работа по протезированию винирами. Как сейчас модно говорить «виниринг» :).
- До протезирования винирами
- Множественные очаги кариеса и сколы
- До протезирования
- Довольный пациент
- Виниры, улыбка, вид с боку
- Новая улыбка, виниры установлены
Установка керамических виниров на верхнюю челюсть. Голливудские виниры. (E-max протезирование винирами)
- До установки виниров
- До установки виниров
- До установки виниров
- Протезирование верхней челюсти
- Протезирование верхней челюсти
- новая улыбка
- тыльная часть фронтальных зубов не покрыта винирами
- После установки виниров
Довольно сложная работа по протезированию ввиду неправильного прикуса пациента и категорического отказа проходить ортодонтическое лечение. Проводилось формирование правильного прилегания коронок к десне . Улучшение эстетики улыбки с помощью керамических виниров.
- до лечения
- искривление зубного ряда
- многочисленные дефекты эмали
- после лечение
- подготовлены зубы
- установлены керамические виниры
- голливудские виниры
- после лечения
Очередная установка виниров. Протезирование керамическими винирами. Во время после подготовки зубов под протезирование и передачи работы в лабораторию, на подготовленные зубы обязательно устанавливаются временные виниры, изготовленные прямым методом из сплавов пластмассы и пластика.
- До протезирование
- Многочисленные сколы и потемнения эмали
- Временные пластиковые виниры
- Проверка прилягання виниров к десне
- Готовая работа по протезированию
- Керамические виниры E-max
Установка керамических виниров на зубы. Изменяем форму и положение зубов — повышаем эстетику. Фото до и после, виниры на зубы фото. (E-max протезирование винирами)
- до установки виниров
- до протезирования
- до протезирования
- после протезирования
- коррекция формы и цвета зубов винирами
- довольный пациент
Установка керамических виниров и коронок на зубы с коррекцией положения зубов на нижней челюсти. Фото до и после, (E-max протезирование винирами и коронками)
- вид до протезирования
- нарушение прикуса
- проблемы прикуса на нижней челюсти
- временные пластмассовые конструкции
- фиксация керамических виниров и коронок
- после фиксации e-max
- виниры зафиксированы
- после протезирования
Протезирование керамическими винирами E-max, повышение эстетики улыбки.
- внешний вид до лечения
- внешний вид до лечения
- внешний вид до лечения
- внешний вид до лечения
- после установки виниров
- после установки виниров
- после установки виниров
- после установки виниров
Установка керамических виниров. Голливудские виниры — улучшаем внешний вид зубов. (E-max протезирование винирами)
- до протезирования
- перед установкой виниров
- дефекты внешнего вида
- цвет и форма зубов требует коррекции
- после установки виниров
- после протезирования зубов винирами
Установка керамических виниров на зубы. Увеличиваем размер зубов — повышаем эстетику. Фото до и после, виниры на моделях. (E-max протезирование винирами)
- вид до лечения
- до установки виниров
- подготовка зубов под виниры
- препарация по виниры
- e-max виниры
- изготовленные керамические виниры
- после установки виниров
- вид после протезирования
- виниры установлены на зубы
Еще несколько наших работ по протезированию керамическими винирами. Увеличиваем размер зубов, убираем скрученность — повышаем эстетику. Фото до и после. Во втором случае, к сожалению, фото до протезирования не сохранились, выкладываем только фото после: (E-max протезирование винирами)
- вид сбоку до и после установки керамических виниров на зубы
- Вид до протезирования, после установки временных пластиковых накладок, и после протезирования.
- Работа по протезированию керамическими винирами E-max, к сожалению фото «до» не сохранились.
Стоматологические работы Санодент: Виниры, Голливудские виниры, Люминиры, Компониры.
08.08.2016







ПОСЛЕДНИЕ КОММЕНТАРИИ: