ФОТО СТОМАТОЛОГИЧЕСКИХ РАБОТ САНОДЕНТ: ИМПЛАНТАЦИЯ/ПРОТЕЗИРОВАНИЕ
имплантация и протезирование зубов на имплантах/металлокерамические коронки/безметалловые коронки E-max
Наши стоматологические работы по имплантации и протезированию зубов безметалловыми керамическими коронками, металлокерамическими коронками, фото до и после протезирования и имплантации.
Работа по имплантации зубов All on 6, (смотреть по ссылке)
Тотальное протезирование двух челюстей металлокерамическими коронками Noritake (Japan).



Протезирование безметалловыми прессованными керамическими коронками E-max, с опорой на немецких имплантаx ICX и циркониевых абатментах:
- Вид до лечения:
- Панорамный снимок:
- Начинаем снимать старые мосты
- Снимаем старые мосты низ:
- убрали все «мертвое»:
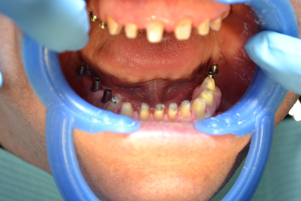
- начинаем установку имплантов:
- имплантация зубов:
- наложение швов:
- установка циркониевых абатментов:
- в работе: циркониевые абатменты
- после лечения:
- цвет выбирал пациент:)
- яркая улыбка:)
- после лечения:
- после лечения: яркая улыбка:)
Протезирование безметалловыми керамическими коронками E-max. Предварительно проводилось: ортодонтическое лечение (исправление прикуса), лечение и подготовка опорных зубов под протезирование.
- до протезирования
- старые коронки
- подготовка зубов
- препарация зубов под протезирование
- временные пластмассовые коронки
- после протезирования
- готовая керамика E-max
- готовый результат
Восстановление отсутствующего фронтального зуба с воссозданием природной формы и цвета. Безметалловая керамическая коронка установлена на немецкий имплант с циркониевым абатметом.
- отсутствует фронтальный зуб
- установлен имплант с циркониевым абатментом
- керамическая коронка
- после протезирования
Тотальное протезирование двух челюстей, безметалловые коронки E-max, установленные на вживленные имплантаты Ankylos Dentsply Friadent.
- вживленные имплантаты
- вживленные имплантаты
- подготовка: препарация + абатменты
- подготовка: препарация + абатменты
- подготовка: препарация + абатменты
- изготовленные керамические коронки E-max
- изготовленные керамические коронки E-max
- изготовленные керамические коронки E-max
- результаты протезирования
- результаты протезирования
- результаты протезирования
- результаты протезирования
Протезирование двух челюстей безметалловыми керамическими коронками E-max, с опорой на имплантах с циркониевыми абатментами для фронтальных зубов.
- До лечения
- Старые металлокерамические мосты
- установка имплантов и препарация
- циркониевые абатменты
- прессованная керамика
- безметалловые коронки
- E-max
- отличное прилегание к десне
- вид после протезирования
Полное протезирование двух челюстей металлокерамическими коронками ips disagn, с опорой на израильских имплантах Alfa Bio.
- Отсутствие зубов на двух челюстях
- устанавливаем импланты
- примерка временных металлических конструкций
- протезирование металлокерамикой
- вид после протезирования
- довольный пациент:)
Имплантация, восстановление фронтального зуба с использованием циркониевого абатмента и безметалловой прессованной керамической коронки Е-макс.
- вживленный иплантат
- циркониевый абатмент
- циркониевый абатмент
- коронка Е-мах
Установка имплантата, протезирование отсутствующего фронтального зуба. Циркониевый абатмент и безметалловая прессованная керамическая коронки Е-макс.
- отсутствие зуба
- вживленный имплантат
- циркониевый абатмент
- подготовка препарация
- подготовка препарация
- конечный результат
Тотальное протезирование двух челюстей металлокерамическими коронками Noritake, на имплантатах Alfa Bio.
- подготовка зубов и имплантация
- металлокерамические коронки
- металлокерамические коронки
- протезирование зубов металлокерамикой
Протезирование верхней челюсти, и жевательной группы нижней челюсти, безметалловыми керамическими коронками E-max, на имплантах ARDS, с изготовлением искусственной десны.
Стоматологические работы Санодент: имплантация и протезирование зубов, металлокерамические коронки, безметалловые коронки E-max.
08.08.2016




ПОСЛЕДНИЕ КОММЕНТАРИИ: