Какие бывают патологии прикуса у ребенка. Виды нарушения прикуса у детей.
Если у вашего чада в отличии от ваших ожиданий, не здоровые, красивые и ровные зубы, то эта статья, «о неправильном прикусе у детей», именно для вас! Патологии прикуса, как и костных тканей, могут формироваться уже в самом раннем возрасте человека, начиная с младенчества. В связи с этим, мы решили отдельно рассказать и объяснить причины неправильного роста, искривления зубного ряда у детей, и, самое главное, указать на те меры, которые обязаны предпринять родители, для удаления патологий прикуса и предотвращения их развития в будущем.
Причины нарушения прикуса у ребенка.
Ни для кого не секрет, что искусственное вскармливание, является основной причиной развития патологии прикуса у детей. Это происходит следующим образом. По физиологии человека, имеется анатомическая особенность, у новорожденного нижняя челюсть несколько меньше верхней, на первом году жизни должно произойти выравнивание размеров челюстей и формирование правильного прикуса, чему способствует естественное вскармливание грудью. Во время сосания груди, работают лицевые мышцы младенца, заставляя его выдвигать нижнюю челюсть, тем самым размер которой выравнивается до необходимого. При вскармливании через бутылочку, на соске которой имеется не малое отверстие, у младенца практически не работают лицевые мышцы, так как молоко вытекает из соски практически без усилий ребенка, а ему остается лишь быстро проглатывать молоко. Акт сосания сводится в минимуму и нижняя челюсть отстает в развитии, оставаясь на прежнем уровне. .
В период, когда ребенок должен переходить с молока на твердую пищу, в связи с недоразвитием нижней челюсти, делает он это крайне вяло и неохотно. В последствии, его жевательный аппарат не нагружен и работает не на полную потребность, происходит недоразвитие кости, как нижней так и верхней челюстей, что в свою очередь приводит в появлению искривленного и неправильно расположенного зубного ряда.
Так же, неправильное и вынужденное расположение головы ребенка, например запрокидывание, во время сна или вскарливания когут пагубно влиять на правильное развитие прикуса.
Привычка подкладывать руку под щеку, во время сна, спать в одной и той же позе – на животе, спине, боку, с опущенной головой низко на грудь, все это способствует сужению и смещению нижней челюсти. Обычно, кривые зубы и неправильный прикус соседствуют с проблемами позвоночника и неправильной осанкой, при этом голова расположена, как бы выдвинута вперед относительно оси туловища.
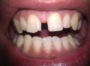
Нарушение прикуса у детей фото:

Все эти аномалии могут возникать из-за нехватки в организме таких жизненно необходимых веществ, как кальций и фтор.
В основном любящие родители стараются снисходительно относиться к вредным привычкам их чада, таких как сосание пальца, прикусывание губ, чересчур длительные сосание соски и тд.. Что приводит в раздвиганию зубов на ширину пальца или другого предмета, который любит сосать малыш, и появлению диастемы – щели между зубами.
Еще одной причиной проблемного прикуса могут быть аденоиды (аденоидные разростания) и воспалительные заболевания носовой полости. Так как при этих заболеваниях у малыша заложен нос и дыхание производится ртом, что в свою очередь приводит к нарушениям роста черепа с формированием характерного типа лица «аденоидного».
Что рекомендуется родителям для предотвращения появления неправильного прикуса у детей:
- При невозможности вскармливания ребенка естественным образом (грудью), рекомендуется приобрести в аптеке или специализированном магазине, соску с минимально необходимым размером отверстия, и нормальной длины, что бы молоко ни лилось без сосательных усилий ребенка.
- При кормлении из бутылочки полностью имитируйте положение малыша как при вскармливании грудью, не стоит класть его с запрокинутой головой в кроватку.
- Постоянно следите за положением ребенка во время сна, меняйте его позы, перекладывайте. Так же, подушка подкладываемая по головку нужна невысокая и ровная.
- Привычку сосать палец необходимо искоренять, может быть следует пересмотреть режим кормления.
- Пагубные привычки, такие как сосание пальца, необходимо сразу же искоренять, при необходимости обратиться к невропатологу, с девяти месяцев отучать ребенка от соски (пустышки). После появления первых зубов, необходимо предлагать ребенку все более твердую пищу, для привыкания работать челюстями. Немедленно обращайтесь к ортодонту при малейших подозрениях о проблемах прикуса.



Добавить комментарий